




Chăm sóc sức khoẻ răng miệng
toàn diện và tận tâm
Khám phá dịch vụ →Quy trình đăng ký &
thăm khám tại MIDA
Rõ ràng, nhẹ nhàng
và vì bạn!
1
Đặt lịch hẹn tiện lợi
Đặt lịch qua Website, Zalo, Facebook hoặc Hotline. Đội ngũ MIDA sẽ xác nhận ngay và sắp xếp thời gian thuận tiện nhất cho bạn.
2
Thăm khám & Tư vấn 1:1
Bác sĩ trực tiếp kiểm tra, lắng nghe và giải đáp mọi thắc mắc của bạn để hiểu rõ nhất tình trạng răng miệng hiện tại.
3
Thống nhất kế hoạch điều trị
Dựa trên kết quả thăm khám, MIDA sẽ cùng bạn thống nhất một kế hoạch điều trị phù hợp nhất về hiệu quả, thời gian và chi phí.
4
Bắt đầu điều trị & Chăm sóc
MIDA luôn đồng hành cùng bạn trong suốt quá trình và hướng dẫn tận tình sau điều trị để đảm bảo nụ cười khỏe đẹp, bền lâu.
Điểm nổi bật của MIDA
Đội ngũ bác sĩ chuyên môn, tận tâm.
Không gian sạch sẽ, thân thiện.
Kế hoạch điều trị cho riêng bạn.
Luôn đầu tư công nghệ hiện đại giúp điều trị nhẹ nhàng hơn.
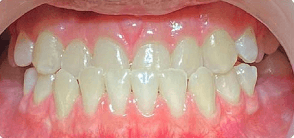
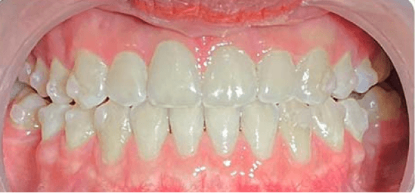
Hiệu quả điều trị tại MIDA


Chị Phương
Nha khoa thẩm mỹKhám phá không
gian phòng khám

Kiến thức nha khoa

Muốn có nụ cười trắng sáng, hãy tránh xa 3 loại thực phẩm này!
8/1/2026

Sau khi tẩy răng, cần tránh ăn gì?
8/1/2026

Ưu Điểm Vượt Trội Của Trám răng Inlay, Onlay, Overlay
8/1/2026

Phải làm gì để uống cà phê mỗi ngày mà vẫn bảo vệ răng?
8/1/2026

Bảo hiểm nha khoa: Hiểu đúng để tiết kiệm chi phí điều trị
8/1/2026

Niềng răng sớm cho trẻ: Vì sao cả gia đình nên quan tâm?
5/1/2026

